Sinusitis

HomeEducationHealth InformationSinusitis

甚麼是鼻竇炎?

鼻竇分佈於鼻及眼睛周圍,是位於顱骨內部的空腔構造,鼻竇內的粘膜有助將空氣中的塵埃和廢物吸住及排出,亦可調節吸入空氣的溫度和濕度。

鼻竇可再細分為四對鼻竇,分別名為額竇 (frontal sinus)、上頜竇 (maxillary sinus)、篩竇 (ethmoid sinus) 和蝶竇 (sphenoid sinus),任何一個位置發炎亦可稱作鼻竇炎,大多由鼻腔及鼻竇內黏膜壁受感染引起炎症。

鼻竇炎有甚麼成因?

鼻竇炎成因繁多,一般是因鼻竇內黏膜受刺激而出現炎症或腫脹,阻礙鼻腔黏液排出鼻孔,並使黏液滯留在鼻竇內,導致細菌在鼻竇中繁殖,造成鼻竇炎。
鼻竇炎的成因如下:
  • 過敏
  • 傷風、感冒或鼻敏感
  • 鼻中隔彎曲
  • 鼻瘜肉
  • 化學物質的刺激
  • 上頜蛀牙

鼻竇炎有甚麼症狀?

鼻竇炎的常見症狀如下:
鼻竇炎的常見症狀
  • 鼻塞
  • 鼻涕濃稠並呈黃綠色
  • 口臭
  • 臉頰感到腫脹或疼痛
  • 嗅覺異常、減退或喪失
  • 發燒、感到疲倦
  • 頭痛慢性咳嗽

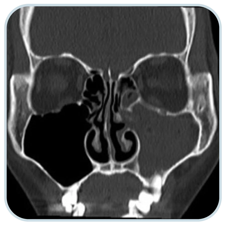
鼻竇炎怎樣檢查?

鼻竇炎可細分為急性鼻竇炎或慢性鼻竇炎,約有三成的急性鼻竇炎患者會自行痊癒,九成以上的急性鼻竇炎在治療後會痊癒,然而有部分的鼻竇炎會變成慢性鼻竇炎,甚至引發嚴重的併發症如腦膜炎、喪失嗅覺或視力受損等。 要避免鼻竇炎演變為慢性鼻竇炎,一旦出現以上症狀或有任何懷疑,就應尋求醫生諮詢,作進一步檢查和治療。鼻竇炎的檢查方法如下:

鼻咽喉內視鏡檢查

鼻竇電腦掃描

 

如何治療鼻竇炎?

治療鼻竇炎的目標是減緩鼻竇黏膜發炎及腫脹 (減低不適)、改善鼻竇與鼻腔、鼻咽之間通道的流暢性 (暢通呼吸)、治療病原體的感染、避免鼻竇炎所引起的併發症。要解決以上的目標,通常會利用藥物治療或在嚴重時配合手術等方式。

鼻竇炎的治療方法 

詳情

藥物治療

藥物是控制鼻竇炎的第一線治療方法。不過有些情況需要手術治療才能有效改善病情,如有鼻瘜肉、鼻竇開口阻塞等,藥物一般無法根治;亦可能因為鼻中隔彎曲或者鼻甲骨肥大而需要施行手術恢復鼻竇暢通,讓鼻竇內的黏膜纖毛可以正常通氣及慢慢恢復正常功能。

手術治療

手術治療及方式需視乎醫生的專業判斷,有機會施行的手術包括:
• 鼻竇球囊擴張術 (Balloon Sinuplasty)
• 功能性鼻竇內視鏡手術 (Functional endoscopic sinus surgery, FESS)
• 鼻中隔矯形手術 (Septoplasty)
• 鼻甲切除手術 (Turbinectomy)

常見問題

  • Q:如果需要做手術,鼻的外觀會有影響嗎?

    A:以上提及的手術都是通過內視鏡的監察,經由鼻孔在鼻腔內進行手術,故此臉上及鼻子外面均不會有傷口或留下疤痕,也不會改變鼻子的外觀。

  • Q:手術需全身麻醉嗎?

    A:大部分手術都需要全身麻醉,以保障病人舒適及安全。如有部分病人因其他身體機能無法全身麻醉,亦可以局部麻醉進行。 

  • Q:手術需時多久?需要住院多少天?

    A:功能性鼻竇內視鏡手術 (Functional endoscopic sinus surgery, FESS) 需時約1.5 – 2小時,鼻中隔矯形手術 (Septoplasty) 及鼻甲切除手術 (Turbinectomy) 需時約45分鐘 – 1小時。住院方面,一般需要住院 2-3天。

  • Q:手術後會有什麼併發症?

    A:手術後可能會有輕微的痛楚,亦有可能出現輕微出血的情況,手術後約數天至一星期便康復。


最後更新日期: 2021年4月

網站的健康資訊已由楷和醫療的醫生覆核。以上內容僅供參考,不可視作醫療建議,亦不能取代閣下就個人健康狀況向合資格的醫護人員作出諮詢。

Please note that all medical health articles featured on our website have been reviewed by Chiron Medical doctors. The articles are for general information only and are not medical opinions nor should the contents be used to replace the need for personal consultation with a qualified health professional on the reader’s medical condition.